ハイドロキシウレア(Hydroxyurea; HU、ハイドレア®カプセル)は、1966年に誕生し国内では1992年に発売が開始された非常に歴史のある薬剤である。HUは代謝拮抗剤に分類され、細胞周期S期の細胞に作用し、リボヌクレオチドレダクターゼ(リボヌクレオチドをデオキシリボヌクレオチドに変換する酵素)を阻害することでDNA合成を阻害する。現在の国内で承認されている疾患は「慢性骨髄性白血病(chronic myeloid leukemia、CML)」「本態性血小板血症(polycythemia vera、PV)」「真性多血症(essential thrombocythemia、ET)」である。CMLに対するBCR/ABL阻害剤やPV/ETに対するJAK阻害剤などの新規薬剤の登場によりHUが処方される機会は減っているものの、HUの安全性の高さから上記3疾患の急性増悪時などには使いやすい薬剤として重宝されている。
小児に対するHU投与の報告は主に「鎌状赤血球症(sickle cell anemia; SCD)」を対象としたものである。SCDは海外で多く認められる疾患であり、根治治療は造血幹細胞移植であるが、SCDの病勢コントロールに最も広く用いられている薬剤はHUである。長期投与の安全性に加えて、性腺機能も含めた二次性徴への影響も少ないことが多数例の解析で証明されている。
LCHに対するHU投与の報告は、2016年にBlood誌に初めて報告された。この報告では再発LCH患者15人に対して、HU単独またはHUとメトトレキセート(Methotrexate, MTX)の併用投与が行われ、15人中12人(80%)が部分奏効または完全奏効を達成していた。この報告で著者等はHUを「a new old therapy for LCH(LCHに対する古くて新しい治療)」と表現している。しかし、その報告の症例の大部分は成人(13/15、87%)であり、小児患者(2歳と9歳の男児)は15人中2人(13%)のみであったため、小児LCHに対するHUの有用性は明らかではなかった。
我々は複数回の骨再発をきたした小児LCH2例に対し、HU単独またはHUとメソトレキセートの併用療法を行った。
HU投与により、骨病変の改善と年単位の再発抑制が得られ、重篤な有害事象は観察されなかった。HUは経口投与が可能な薬剤であり、受診回数と医療費を削減するだけでなく、患児の痛みを伴う注射による身体的および精神的ストレスを軽減することができる。
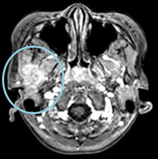
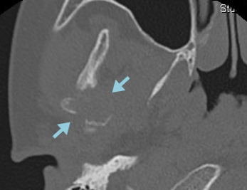
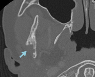
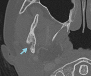
右下顎骨にLCHの骨再発をきたした。HU内服治療を開始後、溶骨部分の順調な修復が認められた。
MRI T1造影


CT 骨条件
ハイドロキシウレア開始時
2か月後
4か月後 * 患者さんから許可を得て掲載しています。